Tüm dişlere zirkonyum diş kaplama yapılabilir. Ancak, tedavi planlaması ve diş hekiminin değerlendirmesi gereklidir. Diş hekiminiz, dişlerinize en uygun diş kaplama malzemesini belirlemek için bir inceleme yapacaktır.
Zirkonyum diş kaplama yapım süresi, genellikle iki veya üç ziyarette tamamlanabilir. İlk ziyarette diş hekiminiz, dişlerinizi hazırlayacak, ölçü alacak ve geçici kaplamalar yerleştirecektir. Sonraki ziyaretlerde ise zirkonyum kaplamalar laboratuvarda üretilecek, uygunluğu kontrol edilecek ve son olarak dişlerinize yerleştirilecektir.
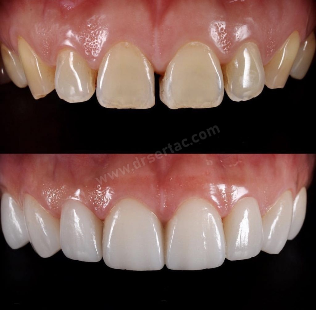
Porselen diş kaplama ile zirkonyum diş kaplama arasında bazı farklar vardır. Porselen diş kaplamalar genellikle porselen malzemeden yapılmış seramik kaplamalardır. Zirkonyum diş kaplamalar ise zirkonyum adı verilen beyaz bir seramik malzemeden üretilir. İşte bazı farklılıklar:
1. Estetik: Her iki kaplama da estetik sonuçlar sağlar, ancak zirkonyum kaplamalar daha doğal ve şeffaf bir görünüm sunabilir. Zirkonyum, ışığı daha iyi geçiren bir malzeme olduğundan, dişlerin doğal dişlere daha yakın bir görünüm kazanmasına yardımcı olabilir.
2. Dayanıklılık: Zirkonyum diş kaplamalar genellikle daha dayanıklıdır ve porselen kaplamalara göre daha fazla basınca dayanabilir. Zirkonyum, dişlerinize daha fazla mukavemet sağlayabilir ve uzun ömürlü olabilir.
3. Malzeme kalınlığı: Porselen kaplamalar daha ince bir yapıya sahip olabilirken, zirkonyum kaplamaların daha kalın olması gerekebilir. Bu durum, dişlerinizi hazırlarken daha fazla mine yapısının aşındırılması anlamına gelebilir.
4. Uyum: Zirkonyum kaplamalar, dişlerinize daha iyi uyum sağlamak için dijital olarak tasarlanabilir ve freze edilebilir. Bu, daha doğru bir uyum ve daha iyi bir kaplama kalitesi sağlayabilir.
Diş hekiminiz, durumunuza ve tercihlerinize bağlı olarak size en uygun diş kaplama malzemesini önermek için bir değerlendirme yapacaktır. Her iki kaplama türü de estetik sonuçlar elde etmek için etkili seçeneklerdir, ancak kişisel ihtiyaçlarınız ve diş hekiminizin önerileri doğrultusunda bir karar vermek önemlidir.
Zirkonyum Diş Fiyatı
Estetik zirkonyum diş kaplama fiyatı ile azı diş zirkonyum diş kaplama fiyatı farklıdır.
